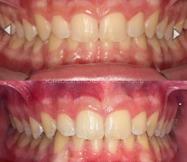
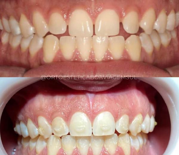
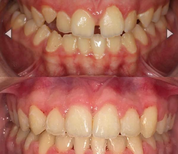
Ortodontia é para aqueles que buscam corrigir a posição dos dentes, dedicando-se ao diagnóstico, prevenção e tratamento de problemas relacionados ao alinhamento dos dentes e das arcadas dentárias.
Geralmente é associada ao uso de aparelhos ortodônticos (fixos ou removíveis) para realizar o movimento dos dentes até a posição ideal para uma mordida funcional, corrigindo dentes desalinhados, má oclusão e espaçamento inadequado entre os dentes.
Recupere sua autoestima ao sorrir com um sorriso alinhado e harmônico.
Sorria e fale com confiança através da melhoria da dicção e hálito fresco.
Evite problemas de mastigação, alterações respiratórias e dores de cabeça que podem ser consequências do desalinhamento dentário.
A ortodontia não atua somente no seu tratamento, mas evita eventuais problemas, inclusive, a perda e/ou fraturas de dentes.

"Eu e minha filha somos pacientes da clínica, e não poderíamos estar mais satisfeitas. A atenção e simpatia da Dra. tornam cada consulta acolhedora. Além da sua habilidade em explicar tudo de maneira clara e compreensível, que faz toda a diferença em nosso acompanhamento. Estamos muito agradecidas por termos a Dra. Michele como nossa profissional de confiança."
Suelen C
• Especialista em Ortodontia
• Especialista em Ortopedia Funcional dos Maxilares
+ 460 vidas transformadas
+ 1850 procedimentos realizados
① Quanto custa o tratamento?
O investimento do tratamento ortodôntico vai depender do tipo de aparelho indicado, da complexidade do caso e do tempo de tratamento. Temos tratamentos tanto com aparelhos fixos tradicionais, quanto aparelhos ortopédicos e alinhadores. Cada um tem suas particularidades a depender da indicação e preferência do paciente. Além disso, para um diagnóstico mais completo e assertivo, é necessário fazer alguns exames. Por isso, a consulta avaliativa individual é primordial para que se entenda a indicação ideal para você.
② Quanto tempo vai durar o tratamento?
O tempo de tratamento vai depender de caso a caso. Geralmente, variam de 12 a 24 meses, podendo durar mais ou menos a depender da complexidade. Os casos mais complexos não costumam passar de 30 meses, quando bem acompanhados e diagnosticados. Lembrando que também vai depender do fator biológico e do paciente estar seguindo as orientações do dentista. Após a avaliação individual e exames ortodônticos, o especialista consegue te passar uma estimativa de tempo.
③ Tenho ausência de dentes, posso usar aparelho?
Sim. Tendo ainda dentes remanescentes, se a indicação for ortodontia, você pode fazer um tratamento ortodôntico. Nesse caso, já associamos um planejamento de colocação de implantes no momento mais adequado. A depender, os espaços para receber os implantes ainda podem estar inadequados pelo mal posicionamento dos dentes, sendo justamente a ortodontia que irá reorganizar os espaços para que os implantes sejam colocados na posição correta.
④ Quais são as principais causas dos dentes tortos?
• Crescimento sem acompanhamento por um ortodontista durante a infância;
• Agenesia (quando não há o nascimento natural de alguns dentes);
• Respiração bucal;
• Uso de bico ou chupar o dedo quando criança.
⑤ Qualquer idade pode fazer ortodontia?
A Associação Americana de Ortodontia (AAO) recomenda que a primeira avaliação ortodôntica aconteça entre os 5 e 7 anos de idade, ou assim que erupcionados os primeiros dentes permanentes. Após isso, não existe idade limite para o uso de aparelho, pode ser indicado desde crianças e adolescentes até adultos e idosos. Inclusive, a infância é a fase onde os ossos, dentes e mandíbula ainda estão se desenvolvendo, podendo o problema ser mais fácil de resolver e podendo evitar, em alguns casos, a necessidade de cirurgia futura. Por isso, procure o quanto antes um especialista para você e seus filhos.
⑥ Dentes desalinhados podem fazer mal à saúde?
Sim. Entre os problemas é muito comum a pessoa ter dificuldade em falar ou pronunciar determinados sons corretamente. Do mesmo modo, a estrutura óssea do maxilar e dos dentes pode comprometer os movimentos naturais da língua e afetar diretamente a respiração e a fala. Outro ponto importante é a dificuldade na mastigação, podendo comprometer o sistema gástrico na absorção de nutrientes e na digestão. Já em alguns casos, dentes mal posicionados podem gerar problemas na articulação temporomandibular (ATM), resultando em dores nos maxilares e até dor de cabeça. Além disso, o desalinhamento dos dentes pode afetar diretamente a aparência e a autoestima das pessoas. Por isso, para que estes problemas não atinjam a sua saúde o ideal é realizar uma avaliação com um profissional especialista em Ortodontia.
A Ortoestética Boa Viagem Sul oferece uma variedade de especialidades e procedimentos que visam aprimorar você, promover seu bem-estar e elevar sua autoestima. Nossas especialidades abrangem um amplo leque de tratamentos estéticos personalizados para atender com excelência às necessidades de cada paciente.
Eu e minha filha somos pacientes da clínica e não poderíamos estar mais satisfeitas. A atenção e simpatia da equipe e da Dra tornam cada consulta acolhedora. A habilidade da Dra em explicar tudo de maneira clara e compreensível faz toda a diferença em nosso acompanhamento. Estamos muito agradecidas por termos a Dra. Michelle como nossa profissional de confiança.
Suelene C, 29 anos
Coloquei meus alinhadores transparentes na clínica e me surpreendi com o resultado! Foi bem mais rápido e menos doloroso do que eu esperava. Além disso, o ambiente super confortável e aconchegante com uma equipe super atenciosa e solícita. A Dra é uma profissional muito competente. Meu tratamento foi super rápido. Confio e recomendo bastante!
Pedro G., 30 anos
Estou muito satisfeita com o resultado e principalmente com a agilidade do tratamento. Fazia ortodontia em outra clínica e parecia que o tratamento não andava pra frente. Quando comecei o tratamento aqui na clínica vi realmente o cuidado no acompanhamento e fazendo as manutenções certinho, meu tratamento andou muito rápido e consegui finalizar. Além de que o sorriso alinhado me trouxe uma melhor autoestima e confiança. Ainda fiz um clareamento para deixar meus dentes mais branquinhos no final e amei o resultado de tudo. Indico.
Gabriela P., 41 anos